(*contributed equally to this work) Published: Vol 15, Iss 1, Jan 5, 2025 DOI: 10.21769/BioProtoc.5144 Views: 2735
Reviewed by: Anonymous reviewer(s)

Protocol Collections
Comprehensive collections of detailed, peer-reviewed protocols focusing on specific topics
Related protocols
Measurement of Bone Metastatic Tumor Growth by a Tibial Tumorigenesis Assay
Baotong Zhang [...] Jin-Tang Dong
Nov 20, 2021 4537 Views

Generation and Maintenance of Patient-Derived Endometrial Cancer Organoids
Mali Barbi [...] Semir Beyaz
Oct 20, 2024 2095 Views

Efficient Gene-Editing in Human Pluripotent Stem Cells Through Simplified Assembly of Adeno-Associated Viral (AAV) Donor Templates
Berta Marcó de La Cruz [...] Fredrik H. Sterky
Nov 5, 2024 2923 Views
Abstract
The initiation and progression of prostate cancer (PCa) are associated with aging. In the history of age-related PCa research, mice have become a more popular animal model option than any other species due to their short lifespan and rapid reproduction. However, PCa in mice is usually induced at a relatively young age, while it spontaneously develops in humans at an older age. Thus, it is essential to develop a method by which the PCa initiation and progression timeline can be strictly controlled to mimic human physiological conditions. One milestone in this field was the identification of the prostate-specific transcription factor, Probasin (Pb), which allowed for the prostate-specific expression of genes knocked into the mice's genome. Another milestone is the establishment of the preclinical mouse model with Pten conditionally knocked out in the prostate tissue, which closely mimics the formation and growth of human PCa. Hereby, we present the prostate-specific temporally and spatially controlled Pten knockout PCa mouse model that can be induced using an adenovirus-based Cre-LoxP system. The Cre recombinase (Cre) is inserted into an adenovirus vector. Unlike Pb-Cre knock-in models (which are spatially but not temporally controlled), the expression of Cre is activated to knock out Pten from the mice's prostate epithelial cells once injected. The viral delivery procedures strictly control the location and time of Pten knockout. This novel approach provides a powerful age-related murine model for PCa, emphasizing the effect of aging on prostate carcinogenesis.
Key features
• In vivo delivery of Cre recombinase adenovirus (Ad-Cre-Luc) in Pten LoxP/LoxP (L/L) mice.
• Generation of Cre-expressing Ad-Cre-Luc-mediated ablation of Pten in anterior prostate epithelial cells of adult Pten L/L mice at different ages.
• The Ad-Cre-Luc-mediated ablation of Pten leads to hyperplasia that progresses through prostatic intraepithelial neoplasia (PIN) to adenocarcinoma.
• PIN refers to the non-cancerous growth of epithelial cells in the prostate tissue—not cancer but a precursor of prostate cancer [1].
Keywords: In vivo viral deliveryGraphical overview
Surgery, luciferase-based bioluminescent imaging, and histological observation
Background
Among all risk factors, age is the most important one associated with prostate cancer (PCa) [2]. Canine models are considered valuable in preclinical studies of PCa because they are similar to humans in terms of size, anatomy, histology, and spontaneity of PCa [3]. However, the relatively long lifespan and low incidence rate may limit the use of these models, especially in age-related studies [3]. In contrast, mice's rapid reproduction and short lifespan make them ideal models in which the role of aging in PCa can be studied relatively quickly. However, PCa in mice models must be induced, which is less likely to resemble human conditions, especially the age of PCa initiation. Hence, there is an urgent need to develop a murine model where the timeline of PCa initiation and progression can be strictly controlled.
A milestone in this field is the creation of the prostate-specific Pten conditional knockout (cKO) mouse model, which closely mimics the formation and growth of human PCa and has become an established PCa preclinical model [4]. However, as Pten deletion in this model is an automatic process triggered in very young prostate tissue (less than eight weeks old), it is challenging to mimic the physiology and the microenvironment (old prostate tissue) in which human PCa develops. We created a novel mouse model where Pten KO can be spatially and temporally controlled (Pten adcre+) using a virus-assisted in vivo cKO approach. The prostate-specific Cre-LoxP gene switching was generated via intraductal delivery of adenovirus to the anterior prostate lobes [5]. Adenovirus is a DNA virus that does not integrate into the host genome. It infects dividing and nondividing cells, leading to a transient high-level protein expression [6]. Using the intraductal delivery method, we obtained epithelial-specific prostate infection with Cre-expressing adenoviruses, leading to the deletion of the floxed Pten gene in the prostate epithelium.
Materials and reagents
Biological materials
1. Ptenflox mice (The Jackson Laboratory, strain number: 006440)
2. Cre recombinase adenovirus (Ad-Cre-Luc) (VECTOR BIOLABS, catalog number: 1705); co-expression of Cre recombinase and luciferase (the reporter gene) is regulated by the cytomegalovirus (CMV) promoter
3. Luciferase adenovirus (Ad-CMV-Luc) (VECTOR BIOLABS, catalog number: 1000); this adenovirus vector delivers luciferase. Expression is also regulated by the CMV promoter. It is used as a Cre-negative control of the Ad-Cre-Luc viral vector
Reagents
1. Lidocaine 2% (VETONE, catalog number: V1 510212)
2. OstiLOX (VETONE, catalog number: V1 501080)
3. Sodium chloride (NaCl) (Fisher Chemical, catalog number: S271-10)
4. 10% povidone iodine (McKesson, catalog number: MFR#036)
5. Paraformaldehyde (Sigma-Aldrich, catalog number: P6148-1KG)
6. 100% ethanol, anhydrous (Fisher Chemical, catalog number: A405P-4)
7. Xylene (Thermo Scientific, catalog number: 9990501)
8. CAT hematoxylin (BIOCARE MEDICAL, catalog number: CATHE-GL)
9. Edgar degas eosin (BIOCARE MEDICAL, catalog number: THE-GL)
10. Tacha's bluing solution 10× (BIOCARE MEDICAL, catalog number: HTBLU-MX)
11. Saturated HCl (Fisher Scientific, catalog number: 60047420)
12. Soothe eye ointment (Bausch & Lomb, Preservative Free, 1.8 Oz)
13. Blocking serum from VECTASTAIN Elite ABC Kit (VECTOR LABORATORIES INC, catalog number: PK-6101); see Recipes
14. Biotinylated secondary antibody from VECTASTAIN Elite ABC Kit (VECTOR LABORATORIES INC, catalog number: PK-6101); see Recipes
15. 3,3'-diaminobenzidine (DAB) solution (VECTOR LABORATORIES INC, catalog number: sk-4100); see Recipes for final concentration
16. Phosphate-buffered saline (PBS) (GENESEESCI, catalog number: 25-508)
17. 30% hydrogen peroxide (H2O2) (Fisher Scientific, catalog number: H254-500)
18. D-luciferin (Cayman Chemical Company, catalog number: 14682)
Solutions
1. OstiLox for injection (see Recipes)
2. Lidocaine for injection (see Recipes)
3. 10% paraformaldehyde (see Recipes)
4. 15% ethanol (see Recipes)
5. 70% ethanol (see Recipes)
6. 80% ethanol (see Recipes)
7. 95% ethanol (see Recipes)
8. Bluing solution (see Recipes)
9. 0.5% HCl-ethanol solution (see Recipes)
10. Blocking serum from VECTASTAIN Elite ABC Kit (see Recipes)
11. Biotinylated secondary antibody from VECTASTAIN Elite ABC Kit (see Recipes)
12. Avidin-Biotin-peroxidase Complex (ABC) solution from VECTASTAIN Elite ABC Kit (see Recipes)
13. DAB solution (see Recipes)
Recipes
1. OstiLox for injection
| Reagent | Final concentration | Quantity or Volume |
|---|---|---|
| OstiLox | 1 mg/mL | 200 μL |
| NaCl | 9 mg/mL | 800 μL |
| Total | n/a | 1 mL |
2. Lidocaine for injection
| Reagent | Final concentration | Quantity or Volume |
|---|---|---|
| Lidocaine 2% | 4 mg/mL | 200 μL |
| NaCl | 9 mg/mL | 800 μL |
| Total | n/a | 1 mL |
3. 10% paraformaldehyde
| Reagent | Final concentration | Quantity or Volume |
|---|---|---|
| Paraformaldehyde | 100 g/L | 100 g |
| PBS | 1× | 1 L |
| Total | n/a | 1 L |
4. 15% ethanol
| Reagent | Final concentration | Quantity or Volume |
|---|---|---|
| Ethanol anhydrous | 15% (v/v) | 150 mL |
| Deionized H2O | n/a | Adjust the total volume to 1 L |
| Total | n/a | 1 L |
5. 70% ethanol
| Reagent | Final concentration | Quantity or Volume |
|---|---|---|
| Ethanol anhydrous | 70% (v/v) | 700 mL |
| Deionized H2O | n/a | Adjust the total volume to 1 L |
| Total | n/a | 1 L |
6. 80% ethanol
| Reagent | Final concentration | Quantity or Volume |
|---|---|---|
| Ethanol anhydrous | 80% (v/v) | 800 mL |
| Deionized H2O | n/a | Adjust the total volume to 1 L |
| Total | n/a | 1 L |
7. 95% ethanol
| Reagent | Final concentration | Quantity or Volume |
|---|---|---|
| Ethanol anhydrous | 95% (v/v) | 950 mL |
| Deionized H2O | n/a | Adjust the total volume to 1 L |
| Total | n/a | 1 L |
8. Bluing solution
| Reagent | Final concentration | Quantity or Volume |
|---|---|---|
| Tacha's bluing solution 10× | 1× | 100 mL |
| Deionized H2O | n/a | Adjust the total volume to 1 L |
| Total | n/a | 1 L |
9. 0.5% HCl-ethanol solution
| Reagent | Final concentration | Quantity or Volume |
|---|---|---|
| Saturated HCl | 0.5% (v/v) | 1 mL |
| 70% ethanol | 1× | 199 mL |
| Total | n/a | 200 mL |
10. Blocking serum from VECTASTAIN Elite ABC Kit
| Reagent | Final concentration | Quantity or Volume |
|---|---|---|
| Blocking serum | 1.5% (v/v) | 150 μL |
| PBS | 1× | 10 mL |
| Total | n/a | 10.15 mL |
11. Biotinylated secondary antibody from VECTASTAIN Elite ABC Kit
| Reagent | Final concentration | Quantity or Volume |
|---|---|---|
| Biotinylated antibody | 1:200 diluted | 50 μL |
| Blocking serum | 1.5% (v/v) | 150 μL |
| PBS | 1× | 10 mL |
| Total | n/a | 10.2 mL |
12. ABC solution from VECTASTAIN Elite ABC Kit
| Reagent | Final concentration | Quantity or Volume |
|---|---|---|
| Avidin DH | 1:50 diluted | 100 μL |
| Biotinylated horseradish peroxidase H | 1:50 diluted | 100 μL |
| PBS | 1× | 5 mL |
| Total | n/a | 5.2 mL |
13. DAB solution
| Reagent | Final concentration | Quantity or Volume |
|---|---|---|
| PBS | 0.0152× | 15.2 μL |
| DAB | 0.5 g/L | 17.6 μL |
| H2O2 | 0.15 g/L | 16 μL |
| Deionized H2O | n/a | Adjust the total volume to 1 mL |
| Total (optional) | n/a | 1 mL |
Laboratory supplies
1. Microscope slides (Fisher Scientific, catalog number: 12-550-15)
2. Cover glass (Brain Research Laboratories, catalog number: 2222-1.5D)
3. Tissue cassettes with recessed cover (Simport Scientific, catalog number: M509-2)
4. 4-Ply non-woven, non-sterile dental gauze sponges (PlastCare USA, catalog number: PG‐3304‐3)
5. GLAD PRESS'N SEAL food wrap (Phoenix Research Industries INC, catalog number: CLO70441)
6. 5-0 nylon sutures (Securos Surgical, catalog number: CG634)
7. SimPort tissue cassette (SimPort Scientific INC, catalog number: M-509-2)
8. ImmEdge pen (VECTOR LABORATORIES INC, catalog number: H-4000)
9. Coverslip 22 × 22 (Fisher Scientific, catalog number: C10228)
Equipment
1. Bead sterilizer: The germ terminator (CellPoint scientific, model: GERMINATORTM 500)
2. Biological safety cabinet (The Bader Company, catalog number: SG404)
3. Surgipath Paraplast surgical microscope (Leica, catalog number: 39601006)
4. Gas anesthesia system (Caliper LifeScience, model: XGI-8)
5. IVIS-Lumina (Caliper LifeScience, model: XRMS)
6. Microtome (New Life Scientific INC, model: HM355S)
7. Isotemp incubator (Fisher Scientific, model: 637D)
8. Nikon microscope (PRECISION INSTRUMENTS, LLC, model: H550S)
9. 50 μL, model 705 RN syringe (Hamilton, catalog number: CAL7637-01)
10. 33 gauge, small hub RN needle, custom length (0.5 to 12 in.), point style 2, 3 or 4, 6/PK (Hamilton, catalog number: 7803-05)
11. Decloaking ChamberTM NxGen (BIOCARE MEDICAL, model: DC2012)
12. Sterile surgical tools (forceps, scalpel, small scissors, and hemostats)
13. Micropipette (Hamilton, catalog number: 7637-01)
Software and datasets
1. PureCLIP (Sabrina Krakau et al., https://github.com/skrakau/PureCLIP) [7]
2. NIS-Elements BR Analysis (Nikon, 4.60.00, https://www.microscope.healthcare.nikon.com/products/software/nis-elements/nis-elements-basic-research)
Procedure
A. Surgery (Day 1)
1. Retrieve frozen viral vectors (Ad-Cre-Luc and Ad-CMV-Luc, see Biological materials) from the -80 °C freezer. Keep the virus on ice.
Note: Cre recombinase catalyzes the site-specific DNA recombination between LoxP sites. The adenovirus titer is 1 × 1010 PFU/mL.
2. Locate and identify the mice before the surgery using the cage card information and ear puncture code.
3. Record the weight, age, and sex.
4. Inject a mouse with an analgesic drug (OstiLOX, subcutaneous injection, SC). The dosage is calculated based on the mouse's weight (0.1 mg/kg).
5. Remove the hair using an electric shaver. Avoid potential thermal or physical lesions caused by the fast-acting hot blade. Note that the blades are hot because they are rubbing against each other (like scissors).
6. Clean the area shaved in the previous step with tape (optional).
7. Turn on the heat of the operating table before anesthetizing the mouse so that it is warm enough at the beginning of the surgery to prevent potential hypothermia.
8. Turn on the oxygen and adjust the anesthesia machine to a flow rate of 0.4 L/min (Figure 1A).

Figure 1. Surgical and imaging procedures. (A) Anesthetize the mouse. (B) Cover the mouse under a semi-transparent food wrap with the surgical field exposed (outlined with dashed lines). (C) Create an abdominal incision using a scalpel. (D) Expose the genitourinary (GU) bloc. The cartoon and the magnified photo of the mouse's GU bloc demonstrate the anatomy of seminal vesicles, anterior prostate tissue, and the urinary bladder. L, left. R, right. AP, anterior prostate. SV, seminal vesicles. (E) Inject Ad-Cre-Luc viral particles into APs on both sides (this panel only shows injection into the right AP). Ad-Cre-Luc, adenovirus viral particle driving the co-expression of Cre recombinase and luciferase. (F) Close the incision. (G) Let the mouse recover from anesthesia. (H) Anesthetize the mouse. (I) Peritoneal injection of D-luciferin. (J) Detect the infection of Ad-Cre-Luc using luciferase-based imaging. (K) Let the mouse recover from anesthesia.
9. Anesthetize the mouse with 2%–4% isoflurane in oxygen.
10. Once the mouse is anesthetized in the recovery cage, move it onto the operating table, leaving it supine. Then, place the nose cone over the snout and turn the isoflurane flow rate to 2%.
11. Apply the lubricant eye ointment to the mouse's eyes bilaterally to prevent corneal dehydration.
12. Determine the depth of anesthesia by the pedal withdrawal (toe-pinch) reflex test. Once the reflex is tested negative, turn the isoflurane flow rate down to 1%. Check the respiratory rate and responsiveness to toe pinch every 5 min.
13. Use alternating swabs of 10% povidone iodine and 70% ethanol to wipe the abdominal area three times.
14. Cover the mouse with a clear food wrap (Figure 1B).
15. Cut a hole in the food wrap to expose the desired operating field (in the abdominal area, Figure 1B).
16. Before making the incision, inject the mouse (intradermal injection, ID) with local anesthetics (lidocaine 2%).
17. Confirm there is no toe pinch response.
18. Use the scalpel to cut a midline incision down the sagittal plane of the mouse (Figure 1C). Use the small scissors to enlarge the incision to the desired length (approximately 1.5–2 cm). Use the hemostatic forceps to grab the midpoint of the skin on each side of the incision to expose the operating field.
19. Upon opening the abdomen, look for a round, semi-transparent structure in the caudal abdomen or the pelvic region. That is the mouse's urinary bladder. Use it as a landmark for the upcoming procedures (Figure 1D).
20. Use a tweezer to pick up the bladder. Look for seminal vesicles in the immediate vicinity of the urinary bladder. The seminal vesicles are symmetrical, pale-yellow, curved or spiral-shaped, elongated tubular glands with a sac-like appearance (Figure 1D).
21. Lift the seminal vesicles gently using tweezers. Be very careful because the highly vascularized anterior prostate (AP) tissues are attached to seminal vesicles.
22. Follow the arteries running along the seminal vesicles. As they approach the base of the bladder, they are attached to the APs, the glandular structures with a pale and smooth surface (Figure 1D).
23. Place the anesthetized mouse on a heating pad and move it into the biosafety cabinet (BSC).
24. Under a surgical microscope, look for the primary ducts of the APs. These are the sites where the virus will be delivered.
25. Intraductally deliver 5–10 μL (4–8 × 106 PFU/g of body weight) of viral solution (1 × 1010 PFU/mL) into the AP using a micropipette equipped with a 27 G needle (Figure 1E).
26. Place the organs back to their original anatomical positions.
27. Suture the muscular abdominal wall and the skin individually using 5-0 nylon sutures (Figure 1F).
28. After the surgery and injection described above, observe the mouse until it is awake and able to walk independently. Keep the mouse on a warm surface and monitor its respiratory rate until complete recovery from anesthesia (Figure 1G).
29. If available, repeat the surgical procedure described above on different mice (with the same genotype, Pten L/L).
B. Luciferase-based bioluminescent imaging (Days 5–7)
During the window of days 5–7, the mice are subjected to luciferase-based bioluminescent imaging using the IVIS-Lumina XRMS in vivo imaging system.
1. Apply eye ointment to the mouse's eyes to prevent corneal dehydration.
2. Anesthetize mice with 2%–4% isoflurane in oxygen (Figure 1H).
3. Inject 10 μL of D-luciferin (15 mg/mL sodium salt, Figure 1I) intraperitoneally per gram of body weight. For instance, give a 20 g mouse approximately 200 μL for a standard 150 mg/kg injection.
4. Start image acquisition immediately with a series of images within 30 min (Figure 1J). The peak light emission represents the expression of injected Ad-Cre-Luc infection (Figure 2).
5. After image acquisition, observe the mouse until it is awake and able to walk independently. Keep the mouse on a warm surface and monitor its respiratory rate until complete recovery from anesthesia (Figure 1K).

Figure 2. Luciferase-based bioluminescent imaging. Representative image of a mouse with bilateral anterior prostate (AP) infection of Adenovirus that drives the expression of the reporter gene, luciferase. The image was acquired five days after the surgery. The color-coded scale bars on the right side indicate signal intensities of the luciferase-catalyzed reaction in the image on the left.
C. Tissue harvesting
After the surgery, tissue harvesting takes place at 4, 8, and 16 weeks.
1. Euthanize the mouse by carbon dioxide asphyxiation.
2. Pin the mouse on a dissection board in a supine position by poking a pin through each of the four paws.
3. Spray the abdominal surface with 70% ethanol.
4. Hold the skin of the lower abdomen with tweezers and use scissors to cut through the skin and the abdominal wall, approximately 1 cm anterior to the opening of the penis. Be careful not to cut any organs.
5. Enlarge the incision created in the previous step, exposing the peritoneal cavity.
6. Identify the bladder and urogenital tract and expose them by gently moving fat and other organs to the side.
7. Using tweezers, grip the vas deferens at the base near the urethra and tear it away.
8. Repeat the previous step on the contralateral vas deferens.
9. Carefully lift the bladder with tweezers. Meanwhile, use scissors to cut the urethra below the bladder and ventral prostate.
Note: As the bladder is pulled out, the entire genitourinary (GU) bloc, except the testis, will come with it (Figure 3A).

Figure 3. Tissue harvesting. (A) The GU bloc is separated from the rest of the mouse. It is placed in the same orientation as it is in a mouse in the supine position. The ruler uses a metric unit (centimeter). APs are outlined with dashed circles. GU bloc, genitourinary bloc. SV, seminal vesicle. AP, anterior prostate. (B) The right AP is being separated from the right seminal vesicle. L, left. R, right.
10. Place the GU bloc in a 60 mm cell culture dish containing 5–10 mL of PBS.
11. Perform the remaining part of the protocol under a dissection microscope. Use two pairs of fine tweezers, one in each hand. Hold the tweezers like a pencil and rest the forearms on the benchtop to stabilize them.
12. Use fine tweezers to position the GU bloc so that the bladder is on top, the urethra is pointing down, and the seminal vesicles are placed on either side of the bladder (Figure 3A).
13. Grip the urethra with tweezers and carefully pull away fat with the other forceps without tearing away any prostate tissue.
Note: Fat will appear "shiny" relative to the surrounding tissue.
14. Once the fat is removed, use the tweezers to tear the connective tissue between the two ventral lobes of the prostate and separate them.
15. To remove one of the anterior lobes of the prostate (AP), use tweezers to gently tear the lobe away from the seminal vesicle, ensuring not to puncture the seminal vesicle (Figure 3B). When the lobe is apart from the seminal vesicle but still attached to the base of the urinary bladder, cut it away with scissors.
16. Repeat step C15 with the contralateral AP.
17. Place the APs in Eppendorf tubes. Label the tubes and place them in liquid nitrogen to freeze the tissue.
18. Fix the remainder of the GU bloc with 10% paraformaldehyde.
D. Tissue processing
1. Treat the tissue (GU bloc) with ethanol in an increasing concentration step by step. Use a tilting stand to shake the tissue container so the ethanol can move around the tissue. Ethanol concentrations are 70%, 80%, 95%, and 100%. Each step takes 1 h. Repeat the step with fresh ethanol when the concentration is ≥95% (Table 1). The purpose of the serial ethanol treatments is to dehydrate the tissue gently. Trim the tissue after the 80% ethanol treatment by cutting away part of the seminal vesicles so that the ethanol can infiltrate the tissue more effectively.
2. Transfer the dehydrated tissue to glass vials. Treat the tissue with xylene.
Table 1. Procedures for tissue processing
| Step | Temperature | Duration | Comment |
|---|---|---|---|
| 70% ethanol | Room temperature | 1 h | Tissues stay in the same container in which they were fixed with PFA. |
| 80% ethanol | Room temperature | 1 h | Trim the tissue after this step. |
| 95% ethanol I | Room temperature | 1 h | |
| 95% ethanol II | Room temperature | 1 h | |
| 100% ethanol I | Room temperature | 1 h | |
| 100% ethanol II | Room temperature | 1 h | |
| Xylene I | Room temperature | ≤ 5 min | Move the tissues to glass vials. |
| Xylene II | Room temperature | Varies | Depending on when the tissue turns semi-transparent. |
E. Tissue embedding
1. Place the tissue from the previous day (fixed in wax) in an incubator. Set the temperature to 65 °C and let the wax melt.
2. Meanwhile, let fresh wax melt at 65 °C.
3. Transfer the tissue from melted wax to an empty mold.
4. Adjust the tissue's position so that the cross-section of the mouse's urethra is facing down.
5. Fill the mold with melted fresh wax.
6. Place a SimPort® tissue cassette on top of the mold. Add more wax so the tissue cassette can hold the entire block once the wax solidifies.
7. Place the entire block (a mold containing tissue and wax with a tissue cassette attached to it) on a cold table surface.
8. Once the surface of the wax solidifies, place the entire block into cold tap water (no need to use distilled or deionized water).
9. Store the solidified blocks in a -20 °C freezer.
F. Tissue sectioning
1. Trim the blocks with a blade so that the volume of wax is minimized but still able to hold the tissue.
2. Load the microtome with blocks from the previous step.
3. Adjust the position of the block. Make sure the mouse's urethra is perpendicular to the blade.
4. Program the microtome to make it cut sections with a thickness of 4 μm.
5. Let the microtome cut four consecutive sections automatically.
6. Carefully pick up the consecutive sections with tweezers. Place the consecutive sections on the surface of 15% ethanol to reduce the wrinkles.
7. Place a fresh slide in the water bath underneath the floating sections. Approach the sections quickly but carefully so that the wrinkles can be fully reduced, but the sections can be picked up before the wax melts. Let one side of the consecutive sections cling to the slide, and then pick up the slide carefully. Make sure the tissue in all four sections stays on the slide.
8. Place the slide on a warm surface and let it dry.
G. Immunohistochemistry (IHC) and hematoxylin & eosin (H&E) staining
Steps G1–7 are summarized in Table 2.
1. Place the slides in an incubator. Set the temperature to 65 °C. Incubate for 30 min.
2. Transfer to a xylene bath and incubate for 5 min.
3. Transfer to a fresh xylene bath and incubate for another 5 min.
4. Shake off excess liquid and treat the tissue with two rounds of 100% ethanol (3 min each).
5. Shake off excess liquid and treat the tissue with two rounds of 95% ethanol (3 min each).
6. Shake off excess liquid and place slides in fresh 80% ethanol for 3 min.
7. Shake off excess liquid and place slides in fresh 70% ethanol for 3 min.
Table 2. Wax removal and rehydration
| Step | Temperature | Duration | Comment |
| Wax removal | 65 °C | 30 min | Wax is liquified at 65 °C. |
| Xylene I | Room temperature | 5 min | Liquified wax is dissolved in the xylene. |
| Xylene II | Room temperature | 5 min | A second round of xylene treatment cleans up residual wax. |
| 100% ethanol I | Room temperature | 3 min | Absolute ethanol dissolves xylene. |
| 100% ethanol II | Room temperature | 3 min | A second round of ethanol cleans up residual xylene. |
| 95% ethanol I | Room temperature | 3 min | Gentle rehydration with ethanol in a series of decreasing concentrations. |
| 95% ethanol II | Room temperature | 3 min | |
| 80% ethanol | Room temperature | 3 min | |
| 70% ethanol | Room temperature | 3 min |
8. Rinse the slides in gently running tap water for 30 s (avoid a direct jet, which may wash off the section).
9. Place in a PBS wash bath for further rehydration (30 min at room temperature).
10. Turn on the power for the decloaking chamber. Set the temperature to 95 °C and set a timer for 5 min.
11. Let the decloaking chamber pre-heat. Meanwhile, load the slide holder with slides and place the slide holder in a container (provided by the manufacturer of the decloaking chamber) filled with 0.1 mM EDTA solution. Make sure the tissue is completely submerged in the EDTA solution.
12. Once the decloaking chamber reaches 95 °C, place the EDTA container (from the previous step) in it. Let the reaction start.
13. At the end of the 5-min countdown, remove the entire EDTA container and let it cool to room temperature.
14. Discard the EDTA and rinse the slides with tap water (do NOT use distilled or deionized water).
15. Place the slides on a horizontal surface. Do not allow the slides to touch each other. Between each step, keep the tissue hydrated with PBS.
16. Draw circles around the tissue with an ImmEdgeTM Pen. The "ink" is a hydrophobic substance so that the circles around the tissue can contain aqueous solutions within the area.
17. Add drops of 3% hydrogen peroxide to cover all the consecutive sections.
18. Incubate at room temperature for at least 10 min.
19. Wash the tissue three times with PBS (5 min each).
20. Shake off the fluid with a brisk motion and carefully wipe each slide around the sections.
21. Apply blocking serum.
22. Dilute the primary antibodies in the same blocking serum.
23. Apply the primary antibody solution to the tissue sections, ensuring sufficient antibody solution covers each section. In addition, watch for the integrity of the circles drawn in step G16 so that different antibodies do not cross-contaminate each other. Re-draw the circles if necessary.
24. Incubate overnight at 4 °C.
25. At this moment, one of the four consecutive sections must be covered in PBS and reserved for Hematoxylin & Eosin (H&E) staining in the future.
26. Remove the primary antibody from the previous step.
27. Wash the tissue three times with PBS (5 min each) and keep the tissue covered in PBS.
28. Prepare the biotinylated secondary antibody using the VECTASTAIN® Elite ABC Kit (see Recipes).
29. Apply the secondary antibody. Incubate for 1 or 2 h at room temperature.
30. During the last 30 min of the secondary antibody reaction, start preparing the avidin/oxidizable peroxidase reagent using the VECTASTAIN® Elite ABC Kit (see Recipes).
31. Meanwhile, prepare the 3,3'-Diaminobenzidine (DAB) solution as described in the recipe. The addition of each reagent must follow the order listed in the recipe. Otherwise, a precipitate could form.
32. Remove the biotinylated secondary antibody and wash three times with PBS (5 min each).
33. Apply the ABC solution and incubate at room temperature for 30 min.
34. Remove the ABC solution and wash three times with PBS (5 min each).
35. Apply the DAB solution to develop color.
36. Remove the DAB solution and wash three times with PBS (5 min each).
37. Place the slides on a slide holder.
38. Place the slide holder from the previous step in a hematoxylin bath for 3 min.
39. Rinse the slides with tap water.
40. Dip the slides a few times in an ethanol-based 0.5% (v/v) HCl solution (see Recipes) to remove the excess hematoxylin.
41. View the slides under a microscope. Based on the darkness of the nuclei, decide whether hematoxylin or HCl/ethanol treatment needs to be repeated.
42. Place the slides in a bath of bluing solution for 3 min.
43. Keep the IHC sections covered in PBS. Apply eosin to the section reserved for H&E staining.
44. Dehydrate the tissue with ethanol in order of increasing concentrations. This procedure reverses the rehydration process. Instead of using an ethanol bath, apply drops of ethanol to each section separately to prevent cross-contamination (Table 3).
Table 3. Dehydration and mounting of coverslip
| Step | Temperature | Duration | Comment |
|---|---|---|---|
| 70% ethanol | Room temperature | 3 min | Tissues stay in the same container in which they were fixed with PFA. |
| 80% ethanol | Room temperature | 3 min | Trim the tissue after this step. |
| 95% ethanol I | Room temperature | 3 min | |
| 95% ethanol II | Room temperature | 3 min | |
| 100% ethanol I | Room temperature | 3 min | |
| 100% ethanol II | Room temperature | 3 min | |
| Xylene I | Room temperature | 3 min | |
| Xylene II | Room temperature | 20 min | |
| Resin and coverslip | Room temperature | Overnight | Add a few drops of xylene so that it is easier to spread the resin across the slide. |
H. Image acquisition
1. Turn on the Nikon Digital Sight DS Fi1 Camera using the power button.
2. Open the NIS-Elements Basic Research Software to connect the microscope and camera.
3. Turn on the Nikon Optiphot Microscope and adjust the light to the desired brightness.
4. Use the 10× objective to find an empty area on the slide with no tissue. Use the Auto White button to set the white balance for the pictures.
5. Find the desired place to take a picture on the slide.
6. Turn the Nikon Digital Sight Camera to the left to switch the view from the microscope to the NIS-Elements BR software.
7. Use the fine focus knob on the microscope to bring the image into focus.
8. Open the Camera Settings and set Mode to Normal, Format Fast to 1,280 × 960, and Format Quality to 2,560 × 1,920. Leave all the other settings at their default settings.
9. Use the software's Auto Exposure button to find the optimal exposure and gain for the picture with the 10× objective. Maintain the same settings for all pictures taken with the 10× objective.
10. Ensure the image is focused using the fine focus knob on the microscope, then capture the image with the capture button.
11. Save the image as a tagged image file format (.tif).
12. Switch to the 40× objective and use Auto Exposure to find the optimal exposure and gain. Maintain the same settings for all pictures taken with the 40× objective.
13. Repeat the same process for capturing and saving the picture.
Data analysis
Data analysis procedures were described in our published research article [8]. The data analysis can be found in Figure 2 of the article [8]. Pten L/L mice were infected with Ad-CMV-Luc and Ad-Cre-Luc virus. Mice infected by Ad-CMV-Luc were used as Pten-positive control. The relative Pten expression level and the downstream signaling molecules, such as phosphorylated-AKT and phosphorylated-S6, were estimated using immunohistochemistry (IHC, procedures were described above). The number of recommended biological replications is ≥3. All sections (control and treated) must be stained at the same time using the same procedures. Sections with relatively higher protein levels develop darker color during this process.
Validation of protocol
The success of viral delivery is validated by the luciferase-based bioluminescent imaging results (Figure 2).
This protocol has been used and validated in the following research article:
• Liu et al. [8]. A Novel Controlled PTEN-Knockout Mouse Model for Prostate Cancer Study. Frontiers in Molecular Biosciences (Figure 2, Panels A–C).
In this article, the Pten conditional knockout mouse model was validated by estimating relative Pten expression levels in the prostate tissues using immunohistochemistry.
The figure from the original article is presented below (Figure 4).

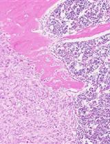
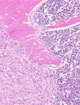
Figure 4. Expression levels of PI3K/mTOR pathways' downstream components in mice's anterior prostate respond to Pten conditional knockout. This figure is adapted from the authors' published article, A Novel Controlled PTEN-Knockout Mouse Model for Prostate Cancer Study (Figure 2, Panels A–C). Frontiers in Molecular Biosciences [8]. (A) IHC staining to detect Cre recombinase in Pten LoxP/LoxP (L/L) mice's anterior prostate (AP) from different age groups that are infected with different adenovirus vectors. Ad-CMV-Luc, adenovirus vector that expresses luciferase using a cytomegalovirus (CMV) promoter. Green arrows indicate the basal cells. Green dash lines outline the stroma. Green triangles point toward stroma cells. Pten, phosphatase and tensin homolog deleted on chromosome 10. Ad-Cre-Luc, adenovirus vector that co-expresses luciferase and Cre recombinase (also using the CMV promoter). (B) IHC staining to detect Pten and downstream components of the PI3K/mTOR pathways in Pten L/L mice's AP that were infected with Ad-CMV-Luc and Ad-Cre-Luc viral vectors. Red arrows indicate Pten-, P-Akt-, P-S6-, or P-4E-BP1-positive cells. P-S6, phospho-S6 ribosomal protein. P-4E-BP1, phospho-eukaryotic translation initiation factor 4E-binding protein 1. (C) Serial IHC staining to detect Pten and downstream components of the PI3K/mTOR pathways in Pten L/L mice's AP at 0, 4, 8, and 16 weeks from the surgical delivery of the viral vectors. Red arrows indicate Pten-negative cells with activated P-S6 and P-4E-BP1.
General notes and troubleshooting
General notes
1. The rate of successful infection is approximately 80%. In other words, multiple mice with the same genotype must be prepared beforehand. In addition, always validate the viral delivery using luciferase-based bioluminescent imaging five days after the surgery.
2. The mouse may die in an anesthetic accident. Therefore, it is recommended that researchers work in pairs. The assistant can monitor the mouse's respiratory rate while the operator performs the surgery.
3. Viral infection may cause an immune response in mice. To eliminate this potential variable in cancer research, it is recommended to use mice with identical genotypes injected with a vacant viral vector as the control.
4. Mice purchased from outside usually have a heterozygous genotype (Pten LoxP/Wildtype, Pten L/WT). To generate homozygous (Pten L/L) mice, refer to the breeding strategy described in the supplementary information (Figure S1).
5. This model is designed for age-related cancer research. The supplementary material provides the timeframes of surgeries and examinations for different age groups (Figure S1).
Troubleshooting
Problems, critical steps, potential causes, and corresponding solutions are all listed below (Table 4).
Table 4. Troubleshooting
| Problems | Steps | Causes | Solution |
| No or little luminescent signals are detected | B4 | 1. The mouse's immune system eliminated the virus. | Perform the surgery on a different mouse. |
| 2. Signal is weak due to the limited number of infected cells. | Change the imaging parameters and scale of signals so that weak signals can be captured and displayed by the software. | ||
| 3. Luciferase has not completely reacted with D-luciferin. | Wait longer before image acquisition. | ||
| IHC overstaining | G22–G36 | Chromogenic reaction (incubation with DAB) takes too long. | Start over with new sections. Shorten the chromogenic reaction (incubation with DAB) or use further diluted antibodies. |
| Insufficient IHC staining | Chromogenic reaction occurs too quickly. | Elongate the chromogenic reaction. If no more color is developed, start over with new sections and use more concentrated antibodies. | |
| Hematoxylin overstaining | G37–G44 | Hematoxylin treatment takes too long. | Extend the treatment with the ethanol-based 0.5% (v/v) HCl solution. |
| Insufficient hematoxylin staining | Slides are soaked in the ethanol-based 0.5% HCl solution for too long. | Repeat the hematoxylin staining. | |
| Note: In the steps column, capital letters refer to Procedure subsections, and the numbers refer to the specific steps within the subsection denoted by the capital letter. For instance, B4 refers to step 4 in subsection B under Procedures. IHC, immunohistochemistry. DAB, 3,3′-diaminobenzidine. HCl, hydrogen chloride. | |||
Supplementary information
The following supporting information can be downloaded here:
1. Figure S1. Breeding strategy and timeframe of surgeries and examinations for different age groups
Acknowledgments
This work was supported by the National Cancer Institute of the National Institutes of Health (NIH) under Award Number R01CA255802, the National Institute of General Medical Sciences of the NIH under Award Number P20GM103629, and U54GM104940, the Carol Lavin Bernick Faculty Grant and University Senate Committee on Research Fellowship Program Award from Tulane University. The content is solely the responsibility of the authors and does not necessarily represent the official views of the National Institutes of Health. Statistical analyses were completed in the Genomics and Biostatistics Core at the Tulane Center for Aging, which is supported by the National Institute of General Medical Sciences Grant P20GM103629.
The protocol was described and validated in this original research paper: Liu et al. [8]. A Novel Controlled PTEN-Knockout Mouse Model for Prostate Cancer Study. Frontiers in Molecular Biosciences.
Competing interests
The authors declare that the research was conducted in the absence of any commercial or financial relationships that could be construed as a potential conflict of interest.
Ethical considerations
The animal study was reviewed and approved by The Institutional Animal Care and Use Committee of Tulane University.
References
Article Information
Publication history
Received: Jul 19, 2024
Accepted: Oct 23, 2024
Available online: Nov 11, 2024
Published: Jan 5, 2025
Copyright
© 2025 The Author(s); This is an open access article under the CC BY-NC license (https://creativecommons.org/licenses/by-nc/4.0/).
How to cite
Liu, S., Shen, K., Li, Z., Rivero, S. and Zhang, Q. (2025). Temporally and Spatially Controlled Age-Related Prostate Cancer Model in Mice. Bio-protocol 15(1): e5144. DOI: 10.21769/BioProtoc.5144.
Category
Cancer Biology > General technique > Animal models
Molecular Biology > DNA > Gene expression
Do you have any questions about this protocol?
Post your question to gather feedback from the community. We will also invite the authors of this article to respond.
Share
Bluesky
X
Copy link

