Published: Vol 7, Iss 4, Feb 20, 2017 DOI: 10.21769/BioProtoc.2139 Views: 8985
Reviewed by: HongLok LungShalini Low-NamAnonymous reviewer(s)

Protocol Collections
Comprehensive collections of detailed, peer-reviewed protocols focusing on specific topics
Related protocols

Polysome Fractionation to Analyze mRNA Distribution Profiles
Amaresh C. Panda [...] Myriam Gorospe
Feb 5, 2017 31716 Views

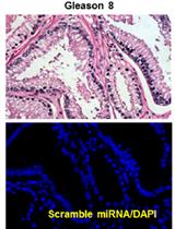
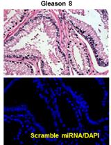
In situ Hybridization (ISH) and Quantum Dots (QD) of miRNAs
Sajni Josson [...] Leland W.K. Chung
Feb 20, 2017 11604 Views

Detection of Individual RNA in Fixed Cells and Tissues by Chromogenic ISH
Meng Jiang [...] Rongqin Ke
Feb 5, 2020 5146 Views
Abstract
Cancer cells and cancer associated stromal cells co-evolve secrete extracellular vesicles to the surrounding regions and regulate several processes involved in cancer metastasis. miRNAs have been known to be mediators of cancer progression and metastasis. miRNAs consist of short noncoding RNA. miRNAs are stable in extracellular fluids such as serum, plasma and urine. miRNAs are secreted by cells in normal and diseased conditions. miRNAs signatures have been identified specific to certain disease conditions. Therefore they are valuable biomarkers for different diseases. In our study we identified certain miRNAs, miR-409-3p and miR-409-5p, which were secreted by activated stromal fibroblast cells and were taken up by cancer cells to induce explosive tumor growth, through activation of epithelial to mesenchymal transition of cancer cells. Here we describe a procedure to determine miRNAs (miR-409-3p and miR-409-5p) in extracellular vesicles, which were secreted by prostate cancer stromal cells expressing miR-409. In this procedure, conditioned media from the stromal fibroblasts was used to extract the vesicular fraction. RNA was purified from the vesicular fraction, and specific miRNA was reverse transcribed and quantitated using real-time PCR assay.
Keywords: miRNABackground
miRNA are short non-coding RNA of 20-23 nucleotides in size. miRNAs have been detected in tissues and body fluids. miRNA expression levels have been determined using Northern blotting and quantitative real-time PCR. miRNA are powerful biomarkers for disease conditions. Under frozen conditions, they are stable in biofluids. Recent emphasis is on the miRNA in the vesicular fractions of cells and extracellular fluids (Josson et al., 2015). Extracellular vesicles (EV) contain different proteins, lipids, DNA, RNA and miRNA. EVs range from sizes of 30 nm to a few µm. EVs has been isolated using kits or differential centrifugation (Morello et al., 2013). In this study we describe the detection of miRNA in the vesicular fraction of activated stromal fibroblast cells. miRNAs are typically detected by Northern blot or quantitative real-time PCR assay (Josson et al., 2015). Using the recently available exosome purification kits we isolated exosomes and purified the miRNA from this fraction. The specific miRNA was reverse transcribed and quantitated using real-time PCR assay.
Materials and Reagents
Equipment
Software
Procedure
Data analysis
Analysis of data is performed as mentioned in the Applied Biosystems manual. Real-time PCR assays are performed in duplicates. The Taqman software determines the Ct value of the specific miRNA (miR-409-3p for example). RNU6B is used as the endogenous control. The difference between the target miRNA and RNU6B is determined by subtraction. The normalized value (x), is then calculated as 2x. Values were expressed as means ± standard deviation. Different groups are compared, and miRNA concentration is plotted graphically, as relative change of miRNA normalized to RNU6B using Graphpad Prism software. If 2 groups are being compared, Student’s t-test is used for statistical analysis. If more than 2 groups are compared, One-Way ANOVA test is used. All experiments were done in duplicates at least two to three independent times.
Notes
miRNA concentrations vary in cells versus extracellular vesicles. For miRNA detection from conditioned media of stromal fibroblasts we used slightly higher RNA concentration for reverse transcription (25 ng). When determining certain miRNA, which is present in low concentration from EVs from conditioned media or body fluids, higher concentration of RNA will be needed to detect the miRNA of interest. Concentrations of 25 ng to 100 ng will be required for a pilot test. Since different miRNA are present in different levels, an initial dose response curve will be useful to determine an appropriate RNA starting concentration.
Recipes

Acknowledgments
These experimental procedures have been published Josson et al., 2015. Grant support for this work is from P01-CA98912, DAMD-17-03-02-0033, RO1-CA122602 (L.W.K. Chung).
References
Article Information
Copyright
© 2017 The Authors; exclusive licensee Bio-protocol LLC.
How to cite
Josson, S., Gururajan, M. and Chung, L. W. (2017). miRNA Characterization from the Extracellular Vesicles. Bio-protocol 7(4): e2139. DOI: 10.21769/BioProtoc.2139.
Category
Cancer Biology > General technique > Biochemical assays > RNA
Biochemistry > RNA > miRNA tagging
Do you have any questions about this protocol?
Post your question to gather feedback from the community. We will also invite the authors of this article to respond.
Share
Bluesky
X
Copy link

