Protocol for T-cell Adhesion Strength on Tumor Cells under Flow Conditions

流动状态下T淋巴细胞对肿瘤细胞的粘着强度分析

发布: 2013年10月20日第3卷第20期 DOI: 10.21769/BioProtoc.936 浏览次数: 10593

评审: Lin FangFanglian HeAnonymous reviewer(s)

download pdf PDF PDF
ask Q&A
引用
收藏
Cited by

参见作者原研究论文

The authors used this protocol in:

Cover of Cancer Research, featuring study using the protocol.

Jan 2013

Advertisement

Submit your protocol to the Special Issue on Technologies for RNA Detection
人免疫细胞分选课程
Presubmission Inquiry

实验方案合集

专注于特定技术或应用的、详细的、经过同行评审的实验方案合集

Cancer Research
Immunology
Developmental Biology
Microbiology
Neuroscience
Cell Imaging - A Special Collection for Cell Bio 2023

相关实验方案

基于瞬时转染的293T细胞粘附实验

基于瞬时转染的293T细胞粘附实验

Rohit Singh and Beom K. Choi

2021年01月05日 7352 阅读

用羧荧光素染料上染率测定培养细胞中连接蛋白介导的半通道活性

用羧荧光素染料上染率测定培养细胞中连接蛋白介导的半通道活性

Joe A. Potter [...] Paul E. Squires

2021年02月05日 5316 阅读

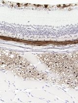
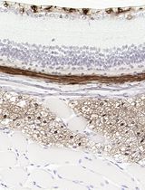
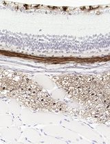
采用 Davidson 固定液和黑色素漂白法优化小鼠眼组织切片的免疫组化染色

采用 Davidson 固定液和黑色素漂白法优化小鼠眼组织切片的免疫组化染色

Anne Nathalie Longakit [...] Catherine D. Van Raamsdonk

2025年11月20日 1564 阅读