发布: 2020年01月20日第10卷第2期 DOI: 10.21769/BioProtoc.3494 浏览次数: 5196
评审: Alka MehraYang FuAnonymous reviewer(s)

相关实验方案

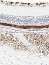
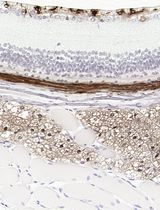
采用 Davidson 固定液和黑色素漂白法优化小鼠眼组织切片的免疫组化染色
Anne Nathalie Longakit [...] Catherine D. Van Raamsdonk
2025年11月20日 1564 阅读
Abstract
Cell surface protrusions include F-actin rich, wave-like ruffles that are erected transiently in response to stimuli and during cell migration. Macrophages are innate immune cells that ruffle constitutively and more dramatically in cells activated by pathogens. Dorsal ruffles and their resulting macropinosomes are key sites for environmental sampling, pathogen detection and immune signaling. Quantitative assessment of ruffling is important for assessing pathogen responses in macrophages and for analysis of growth factor responses in other cell types but automated and quantitative methods are lacking, and rely on manual and qualitative assessments. Here we present an automated ImageJ macro for quantifying dorsal cell surface protrusions from 3D microscope images. The assay presented here is suitable for high-throughput screening applications to detect drug, pathogen, or growth factor induced changes in cell ruffling by measuring ruffle area and intensity and providing normalized values in an easy to read combined spreadsheet.
Keywords: Ruffling (Ruffling)Background
Cells develop ruffles or erect veils of membrane on their surfaces during migration and in responses to growth factors or other mediators. As innate immune cells, macrophages ruffle both constitutively and upon stimulation by growth factors, pathogens or other activating stimuli. Ruffles can take on different forms. Dorsal ruffles on the upper surface of adherent cells are typically large erect. F-actin-rich veils which can be circular (hence the alternative name ‘circular dorsal ruffles’) usually rise up transiently and then collapse back onto the surface. Ruffles often form macropinosomes as described in Condon et al., 2018. Macropinosomes internalise the ruffle membrane, simultaneously ingesting fluid and soluble or small particulate cargo (Kerr and Teasdale, 2009; Commisso et al., 2013). Dorsal ruffles or circular dorsal ruffles have been described in depth in macrophages, epithelial cells and fibroblasts where they have gained recognition as sites for immune cell activation (Luo et al., 2014; Wall et al., 2017), growth factor signaling (Buccione et al., 2004) and activated receptor clustering, and internalisation that play pivotal roles in cancer cell signaling (Buccione et al., 2004; Orth and McNiven, 2006). Dorsal ruffles are also induced by a number of pathogens, including Salmonella entericia serovar typhimurium at sites of pathogen entry (Ly and Casanova, 2007).
The large, circular dorsal ruffles that have been observed on different cell types are dependent on the transient production of F-actin, and inhibitors of F-actin polymerisation such as cytochalasin D abolish their formation (Hedberg et al., 1993; Buccione et al., 2004). As dorsal ruffles are highly enriched in F-actin and contribute a much greater area than other F-actin rich projections, such as filopodia, on the dorsal surface, fluorescent markers of F-actin are relatively enriched in dorsal ruffles. Many studies utilize the presence of dorsal ruffles as a qualitative read-out of cellular responses (Gurung et al., 2003; Gandhi et al., 2004; Singla et al., 2019). The ability to quantify ruffling or F-actin cell surface protrusions, would provide useful analysis for a wide range of biological research ranging from stimulation assays to high-throughput screening. Ruffling has been assessed in images by taking whole-cell, whole field of view F-actin measurements (Schlam et al., 2016) or by performing manual selection and user-interactive regions of interest (Venter et al., 2015).
Here, we have developed a robust and automated assay for dorsal ruffle quantification that requires no user input for cell selection or segmentation of both basal and dorsal regions, defined by the mid-point of the nucleus. Measurements for ruffles are also made on Sum-slices images, meaning depth information is taken into account (i.e., taller ruffles contribute to higher intensity counts). This assay enables batch processing of multiple images to analyse large cell numbers and provide tabulated results for easy statistical analysis using third party software. This robust, automated assay is well suited for screening cell populations to detect changes in dorsal ruffling induced by extracellular stimuli such as pathogens, growth factors, hormones or cytokines and/or large scale screening of pharmacological inhibitors, natural products, or nutritional conditions.
Materials and Reagents
General
Equipment
Software
Procedure
文章信息
版权信息
© 2020 The Authors; exclusive licensee Bio-protocol LLC.
如何引用
Readers should cite both the Bio-protocol article and the original research article where this protocol was used:
分类
免疫学 > 免疫细胞成像 > 高内涵显微镜技术
癌症生物学 > 通用技术 > 细胞生物学试验 > 细胞转化
细胞生物学 > 细胞结构 > 细胞表面
您对这篇实验方法有问题吗?
在此处发布您的问题,我们将邀请本文作者来回答。同时,我们会将您的问题发布到Bio-protocol Exchange,以便寻求社区成员的帮助。
Share
Bluesky
X
Copy link


