(*contributed equally to this work) 发布: 2019年02月05日第9卷第3期 DOI: 10.21769/BioProtoc.3151 浏览次数: 8171
评审: Giusy TornilloAbhijjeet MishraAnonymous reviewer(s)
Abstract
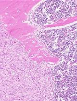
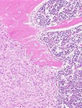
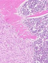
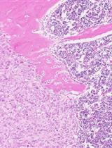
Bone is one of common metastasis sites for many types of cancer. In bone metastatic microenvironment, tumor-bone interactions play a significant role in the regulation of osteolytic or osteoblastic bone metastasis. In order to investigate the direct interaction between tumor cells and bone tissue, it is essential to generate appropriate animal models that mimic the behavior of tumor cells in bone metastatic lesions. Calvarial implantation model (bone invasion model) is a newly-established animal model that accurately recapitulates the behavior of tumor cells in the tumor-bone microenvironment. The surgical technique for tumor cell implantation is simpler than intracardiac, intra-arterial, or intraosseous injection techniques. This model can be useful for the identification of key factors driving tumor-induced osteolytic or osteoblastic changes.
Keywords: Tumor microenvironment (肿瘤微环境)Background
Bone is one of frequent metastasis sites for many types of cancer, including prostate, breast, and lung cancer. Based on their radiographic appearance, bone metastatic lesions are mainly classified into two types: osteolytic or osteoblastic lesions. These lesions are induced by an imbalance between bone formation and bone resorption in the tumor-bone microenvironment. In bone metastatic lesions, tumor cells interact with many types of cells, including osteoblasts, osteoclasts, or mesenchymal stem cells. According to previous reports, the increased bone-resorbing or bone-forming activity is mediated by many paracrine factors secreted by metastasized tumor cells. However, the detailed mechanisms responsible for the osteolytic or osteoblastic phenotype remain to be fully elucidated. To investigate the molecular mechanisms underlying how metastasized tumor cells can induce osteolytic or osteoblastic phenotypes, it is essential to generate animal models that mimic the behavior of tumor cells in bone metastatic lesions.
Calvarial implantation model (bone invasion model) was originally established by Mitsuru Futakuchi and his colleagues [Lynch et al., 2005]. This model accurately recapitulates the behavior of various tumor cells (e.g., rat prostate cancer cells [Lynch et al., 2005], murine breast cancer cells [Wilson et al., 2008], etc.) in bone metastatic microenvironment. In addition, surgical technique required for the implantation of tumor cells is simpler than intracardiac, intra-arterial or intraosseous injection techniques. On the other hand, this model has a couple of limitations. It does not represent the metastasis process from primary organs to bone. Besides, calvaria is not a typical metastasis site for most of cancers.
This model is especially useful in identifying key factors driving tumor-induced osteolytic or osteoblastic changes. Using this model, Futakuchi and his colleagues has demonstrated an important role of MMP-7, cathepsin G, or transforming growth factor β (TGFβ) signaling in tumor-induced osteolysis or tumor growth in bone metastatic microenvironment (Lynch et al., 2005; Sato et al., 2008; Wilson et al., 2008; Futakuchi et al., 2009). In another study, the effect of bisphosphonate or RANKL-targeting therapy was evaluated using this model (Hikosaka et al., 2006; Futakuchi et al., 2018). Hashimoto et al. also used this model to investigate the tumor-stromal interactions by cancer-secreted microRNAs (Hashimoto et al., 2018).
Materials and Reagents
Equipment
Procedure
文章信息
版权信息
© 2019 The Authors; exclusive licensee Bio-protocol LLC.
如何引用
Hashimoto, K., Sato, S., Ochi, H., Takeda, S. and Futakuchi, M. (2019). Calvarial Bone Implantation and in vivo Imaging of Tumor Cells in Mice. Bio-protocol 9(3): e3151. DOI: 10.21769/BioProtoc.3151.
分类
癌症生物学 > 侵袭和转移 > 肿瘤微环境
癌症生物学 > 侵袭和转移 > 动物模型
细胞生物学 > 细胞移植 > 肿瘤细胞种植
您对这篇实验方法有问题吗?
在此处发布您的问题,我们将邀请本文作者来回答。同时,我们会将您的问题发布到Bio-protocol Exchange,以便寻求社区成员的帮助。
Share
Bluesky
X
Copy link




