RNA Interference Screening to Identify Proliferation Determinants in Breast Cancer Cells

RNA干扰筛查鉴定乳腺癌细胞增殖的决定因素

发布: 2017年08月05日第7卷第15期 DOI: 10.21769/BioProtoc.2435 浏览次数: 9641

评审: Aswad KhadilkarVarpu MarjomakiAnonymous reviewer(s)

download pdf PDF PDF
ask Q&A
引用
收藏
Cited by

参见作者原研究论文

The authors used this protocol in:

Cover of Oncogene, featuring study using the protocol.

Mar 2016

Advertisement

3D human multi-cell-type neurospheres from iPSCs
Presubmission Inquiry

实验方案合集

专注于特定技术或应用的、详细的、经过同行评审的实验方案合集

Cancer Research
Immunology
Developmental Biology
Microbiology
Neuroscience
Cell Imaging - A Special Collection for Cell Bio 2023

相关实验方案

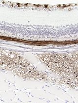
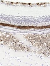
采用 Davidson 固定液和黑色素漂白法优化小鼠眼组织切片的免疫组化染色

采用 Davidson 固定液和黑色素漂白法优化小鼠眼组织切片的免疫组化染色

Anne Nathalie Longakit [...] Catherine D. Van Raamsdonk

2025年11月20日 1625 阅读

原代培养皮层神经元中高效 siRNA 转染方法

原代培养皮层神经元中高效 siRNA 转染方法

Xiaorong Wang [...] Zhaolong Zhang

2026年01月20日 403 阅读