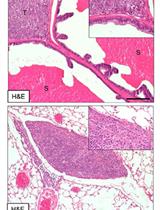
Establishment of Patient-Derived Xenografts in Mice

在小鼠中建立患者源性异种移植物

发布: 2016年11月20日第6卷第22期 DOI: 10.21769/BioProtoc.2008 浏览次数: 15617

评审: Clara Lubeseder-MartellatoAnonymous reviewer(s)

download pdf PDF PDF
ask Q&A
引用
收藏
Cited by

参见作者原研究论文

The authors used this protocol in:

Cover of Cancer Cell, featuring study using the protocol.

Jun 2015

Advertisement

Bio-protocol welcomes Protocols in Bioinformatics and Computational Biology
EasySep 免疫磁珠细胞分选
Presubmission Inquiry

实验方案合集

专注于特定技术或应用的、详细的、经过同行评审的实验方案合集

Cancer Research
Immunology
Developmental Biology
Microbiology
Neuroscience
Cell Imaging - A Special Collection for Cell Bio 2023

相关实验方案

癌细胞外渗的体内试验

癌细胞外渗的体内试验

Elisa Penna and Daniela Taverna

2014年02月20日 15576 阅读

使用鼠原位移植建立前列腺癌生长和转移模型

使用鼠原位移植建立前列腺癌生长和转移模型

Robert M. Hughes [...] Paula J. Hurley

2017年02月20日 12225 阅读

体内定性生物发光成像技术

体内定性生物发光成像技术

Devbarna Sinha [...] Pritinder Kaur

2018年09月20日 10974 阅读