往期刊物2017

卷册: 7, 期号: 12

left

Dec

20

Dec

5

Nov

20

Nov

5

Oct

20

Oct

5

Sep

20

Sep

5

Aug

20

Aug

5

Jul

20

Jul

5

Jun

20

Jun

5

May

20

May

5

Apr

20

Apr

5

Mar

20

Mar

5

Feb

20

Feb

5

Jan

20

Jan

5

right

生物化学

采用经典基于活性的测定法和新型Thermofluor法测定α-葡萄糖苷酶的热稳定性

Thermostability Measurement of an α-Glucosidase Using a Classical Activity-based Assay and a Novel Thermofluor Method

采用经典基于活性的测定法和新型Thermofluor法测定α-葡萄糖苷酶的热稳定性

Karin Ernits Karin Ernits
Katrin Viigand Katrin Viigand
Triinu Visnapuu Triinu Visnapuu
Kristina Põšnograjeva Kristina Põšnograjeva
Tiina Alamäe Tiina Alamäe
10509 Views
Jun 20, 2017
α-glucosidases (including maltases and isomaltases) are enzymes which release glucose from a set of α-glucosidic substrates. Their catalytic activity, substrate specificity and thermostability can be assayed using this trait. Thermostability of proteins can also be determined using a high-throughput differential scanning fluorometry method, also named Thermofluor. We have shown that Thermofluor can also be applied to predict binding of substrates and inhibitors to a yeast α-glucosidase. The methods described here in detail were used in Viigand et al., 2016.
G蛋白偶联受体的荧光标记、磷脂纳米盘重建和单分子观察

Fluorophore Labeling, Nanodisc Reconstitution and Single-molecule Observation of a G Protein-coupled Receptor

G蛋白偶联受体的荧光标记、磷脂纳米盘重建和单分子观察

RL Rajan Lamichhane
JL Jeffrey J. Liu
RP Raymond F. Pauszek III
David P. Millar David P. Millar
10168 Views
Jun 20, 2017
Activation of G protein-coupled receptors (GPCRs) by agonist ligands is mediated by a transition from an inactive to active receptor conformation. We describe a novel single-molecule assay that monitors activation-linked conformational transitions in individual GPCR molecules in real-time. The receptor is site-specifically labeled with a Cy3 fluorescence probe at the end of trans-membrane helix 6 and reconstituted in phospholipid nanodiscs tethered to a microscope slide. Individual receptor molecules are then monitored over time by single-molecule total internal reflection fluorescence microscopy, revealing spontaneous transitions between inactive and active-like conformations. The assay provides information on the equilibrium distribution of inactive and active receptor conformations and the rate constants for conformational exchange. The experiments can be performed in the absence of ligands, revealing the spontaneous conformational transitions responsible for basal signaling activity, or in the presence of agonist or inverse agonist ligands, revealing how the ligands alter the dynamics of the receptor to either stimulate or repress signaling activity. The resulting mechanistic information is useful for the design of improved GPCR-targeting drugs. The single-molecule assay is described in the context of the β2 adrenergic receptor, but can be extended to a variety of GPCRs.

生物物理学

改造商业全身体积描记器并应用于监测新生小鼠的呼吸异常

Modification and Application of a Commercial Whole-body Plethysmograph to Monitor Respiratory Abnormalities in Neonatal Mice

改造商业全身体积描记器并应用于监测新生小鼠的呼吸异常

YL Yen-Ting Lai
Yi-Shuian  Huang Yi-Shuian Huang
9104 Views
Jun 20, 2017
Proper breathing is essential for mammals to acquire oxygen after birth and requires coordinated actions among several tissues, including diaphragm, intercostal muscles, trachea, bronchi, lung and respiration-regulating neurons located in the medulla oblongata. Genetically modified mice that die early postnatally may have respiratory defects caused by maldevelopment of any one of these tissues (Turgeon and Meloche, 2009). Because of the small body size of neonatal pups, whole-body plethysmography can be used to monitor their respiratory activities. In this protocol, we modified the commercial whole-body plethysmograph by increasing metal filters in the pneumotach, connecting an extension tube to the pneumotach and removing the bias flow supply. With these modifications, the sensitivity of this device is significantly increased to enable the detection of rhythmic respiration in neonatal mice as early as postnatal day 1 (P1).

癌症生物学

软琼脂集落形成实验测定作为致癌性标志的集落形成

Soft Agar Colony Formation Assay as a Hallmark of Carcinogenesis

软琼脂集落形成实验测定作为致癌性标志的集落形成

FD Feng Du
XZ Xiaodi Zhao
DF Daiming Fan
30416 Views
Jun 20, 2017
Soft agar colony formation assay is established to estimate the anchorage-independent growth ability of cells. In this assay, a bottom layer of agar with complete media is poured and solidified first, followed by an upper layer containing a specified number of cells suspended in medium-agar mixture. After two weeks of incubation, the number of colonies will be counted, serving as an indicator of malignancy of tumor cells.

细胞生物学

动脉细胞招募和脂质外渗的功能性离体成像

Functional ex-vivo Imaging of Arterial Cellular Recruitment and Lipid Extravasation

动脉细胞招募和脂质外渗的功能性离体成像

Ev Emiel P.C. van der Vorst
SM Sanne L. Maas
AO Almudena Ortega-Gomez
JH Jeroen M.M. Hameleers
MB Mariaelvy Bianchini
YA Yaw Asare
OS Oliver Soehnlein
YD Yvonne Döring
Christian Weber Christian Weber
Remco T.A. Megens Remco T.A. Megens
11200 Views
Jun 20, 2017
The main purpose of this sophisticated and highly versatile method is to visualize and quantify structural vessel wall properties, cellular recruitment, and lipid/dextran extravasation under physiological conditions in living arteries. This will be of interest for a broad range of researchers within the field of inflammation, hypertension, atherosclerosis, and even the pharmaceutical industry. Currently, many researchers are using in vitro techniques to evaluate cellular recruitment, like transwell or flow chamber systems with cultured cells, with unclear physiological comparability. The here introduced method describes in detail the use of a sophisticated and flexible method to study arterial wall properties and leukocyte recruitment in fresh and viable murine carotid arteries ex vivo under arterial flow conditions. This model mimics the in vivo situation and allows the use of cells and arteries isolated from two different donors (for example, wildtype vs. specific knockouts) to be combined into one experiment,thereby providing information on both leukocyte and/or endothelial cell properties of both donors. As such, this model can be considered an alternative for the complicated and invasive in vivo studies, such as parabiotic experiments.

发育生物学

果蝇中候选先天性心脏病基因的验证

Validating Candidate Congenital Heart Disease Genes in Drosophila

果蝇中候选先天性心脏病基因的验证

Jun-yi  Zhu Jun-yi Zhu
YF Yulong Fu
AR Adam Richman
Zhe  Han Zhe Han
9369 Views
Jun 20, 2017
Genomic sequencing efforts can implicate large numbers of genes and de novo mutations as potential disease risk factors. A high throughput in vivo model system to validate candidate gene association with pathology is therefore useful. We present such a system employing Drosophila to validate candidate congenital heart disease (CHD) genes. The protocols exploit comprehensive libraries of UAS-GeneX-RNAi fly strains that when crossed into a 4XHand-Gal4 genetic background afford highly efficient cardiac-specific knockdown of endogenous fly orthologs of human genes. A panel of quantitative assays evaluates phenotypic severity across multiple cardiac parameters. These include developmental lethality, larva and adult heart morphology, and adult longevity. These protocols were recently used to evaluate more than 100 candidate CHD genes implicated by patient whole-exome sequencing (Zhu et al., 2017).

微生物学

利用秀丽隐杆线虫肠道培养细菌以评估其定植能力

Culturing Bacteria from Caenorhabditis elegans Gut to Assess Colonization Proficiency

利用秀丽隐杆线虫肠道培养细菌以评估其定植能力

Facundo Rodriguez Ayala Facundo Rodriguez Ayala
Sebastián Cogliati Sebastián Cogliati
Carlos Bauman Carlos Bauman
Cecilia Leñini Cecilia Leñini
Marco Bartolini Marco Bartolini
Juan Manuel Villalba Juan Manuel Villalba
Federico Argañaraz Federico Argañaraz
RG Roberto Grau
16234 Views
Jun 20, 2017
Determining an accurate count of intestinal bacteria from Caenorhabditis elegans is one critical way to assess colonization proficiency by a given bacteria. This can be accomplished by culturing appropriate dilutions of worm gut bacteria on selective or differential agarized media. Because of the high concentration of bacteria in gut worm, dilution is necessary before plating onto growth media. Serial dilutions can reduce the concentration of the original intestinal sample to levels low enough for single colonies to be grown on media plates, allowing for the calculation of the initial counts of bacteria in the intestinal sample.
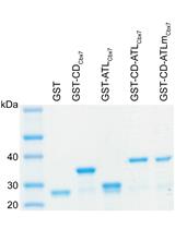
利用大肠埃希杆菌制备GST-Cbx7融合蛋白

Producing GST-Cbx7 Fusion Proteins from Escherichia coli

利用大肠埃希杆菌制备GST-Cbx7融合蛋白

TH Thao Ngoc Huynh
Xiaojun Ren Xiaojun Ren
11471 Views
Jun 20, 2017
This protocol describes the production of GST-Cbx7 fusion proteins from E. coli, originally developed in the recent publication (Zhen et al., 2016). The pGEX-6P-1-GST plasmids encoding the Cbx7 variants were transformed into BL21 competent cells. The fusion protein production was induced by isopropyl-beta-D-thiogalactopyranoside and they were purified by Glutathione Sepharose 4B. This protocol can be adapted for the purification of other proteins.
已表达前病毒的HIV-1包膜糖蛋白120 (gp120) 和nef基因的单基因组测序

Single Genome Sequencing of Expressed and Proviral HIV-1 Envelope Glycoprotein 120 (gp120) and nef Genes

已表达前病毒的HIV-1包膜糖蛋白120 (gp120) 和nef基因的单基因组测序

DN David J. Nolan
Susanna L. Lamers Susanna L. Lamers
RR Rebecca Rose
JD James J. Dollar
MS Marco Salemi
MM Michael S. McGrath
9976 Views
Jun 20, 2017
The current study provides detailed protocols utilized to amplify the complete HIV-1 gp120 and nef genes from single copies of expressed or integrated HIV present in fresh-frozen autopsy tissues of patients who died while on combined antiretroviral therapy (cART) with no detectable plasma viral load (pVL) at death (Lamers et al., 2016a and 2016b; Rose et al., 2016). This method optimizes protocols from previous publications (Palmer et al., 2005; Norström et al., 2012; Lamers et al., 2015; 2016a and 2016b; Rife et al., 2016) to produce single distinct PCR products that can be directly sequenced and includes several cost-saving and time-efficient modifications.
将化学稳定的疏水siRNA加载到细胞外囊泡中用于治疗中枢神经系统疾病

Loading of Extracellular Vesicles with Chemically Stabilized Hydrophobic siRNAs for the Treatment of Disease in the Central Nervous System

将化学稳定的疏水siRNA加载到细胞外囊泡中用于治疗中枢神经系统疾病

RH Reka A. Haraszti
AC Andrew Coles
NA Neil Aronin
AK Anastasia Khvorova
MD Marie-Cécile Didiot
9906 Views
Jun 20, 2017
Efficient delivery of oligonucleotide therapeutics, i.e., siRNAs, to the central nervous system represents a significant barrier to their clinical advancement for the treatment of neurological disorders. Small, endogenous extracellular vesicles were shown to be able to transport lipids, proteins and RNA between cells, including neurons. This natural trafficking ability gives extracellular vesicles the potential to be used as delivery vehicles for oligonucleotides, i.e., siRNAs. However, robust and scalable methods for loading of extracellular vesicles with oligonucleotide cargo are lacking. We describe a detailed protocol for the loading of hydrophobically modified siRNAs into extracellular vesicles upon simple co-incubation. We detail methods of the workflow from purification of extracellular vesicles to data analysis. This method may advance extracellular vesicles-based therapies for the treatment of a broad range of neurological disorders.
连续免疫沉淀3xFLAG/V5标记的酵母蛋白以鉴定特异性互作伴侣蛋白

Serial Immunoprecipitation of 3xFLAG/V5-tagged Yeast Proteins to Identify Specific Interactions with Chaperone Proteins

连续免疫沉淀3xFLAG/V5标记的酵母蛋白以鉴定特异性互作伴侣蛋白

XZ Xu Zheng
David  Pincus David Pincus
9902 Views
Jun 20, 2017
This method was generated to isolate high affinity protein complexes from yeast lysate by performing serial affinity purification of doubly tagged 3xFLAG/V5 proteins. First, the bait protein of interest is immunoprecipitated by anti-FLAG-conjugated magnetic beads and gently eluted by 3xFLAG antigen peptide. Next, the bait protein is recaptured from the first eluate by anti-V5-conjugated magnetic beads and eluted with ionic detergent. In this manner, the majority of abundant, nonspecific proteins remain either bound to the first beads or in the first eluate, allowing pure, high affinity complexes to be obtained. This approach can be used to show specific interactions with notoriously ‘sticky’ chaperone proteins.
利用非典型启动核苷酸(NCIN)进行转录起始的RNA加帽:利用NCIN和NTP测定转录起始的相对效率

RNA Capping by Transcription Initiation with Non-canonical Initiating Nucleotides (NCINs): Determination of Relative Efficiencies of Transcription Initiation with NCINs and NTPs

利用非典型启动核苷酸(NCIN)进行转录起始的RNA加帽:利用NCIN和NTP测定转录起始的相对效率

JB Jeremy G. Bird
BN Bryce E. Nickels
Richard H. Ebright Richard H. Ebright
9248 Views
Jun 20, 2017
It recently has been established that adenine-containing cofactors, including nicotinamide adenine dinucleotide (NAD+), reduced nicotinamide adenine dinucleotide (NADH), and 3’-desphospho-coenzyme A (dpCoA), can serve as ‘non-canonical initiating nucleotides’ (NCINs) for transcription initiation by bacterial and eukaryotic cellular RNA polymerases (RNAPs) and that the efficiency of the reaction is determined by promoter sequence (Bird et al., 2016). Here we describe a protocol to quantify the relative efficiencies of transcription initiation using an NCIN vs. transcription initiation using a nucleoside triphosphate (NTP) for a given promoter sequence.
标记的高度简并引物(THDP)-PCR用于基于含铜膜结合型单加氧酶(CuMMO)的甲烷和氨氧化细菌的菌群分析

Tagged Highly Degenerate Primer (THDP)-PCR for Community Analysis of Methane- and Ammonia-oxidizing Bacteria Based on Copper-containing Membrane-bound Monooxygenases (CuMMO)

标记的高度简并引物(THDP)-PCR用于基于含铜膜结合型单加氧酶(CuMMO)的甲烷和氨氧化细菌的菌群分析

JW Jian-Gong Wang
FX Fei Xia
JZ Jemaneh Zeleke
BZ Bin Zou
Zhe-Xue Quan Zhe-Xue Quan
8683 Views
Jun 20, 2017
We describe a two-step PCR strategy using tagged highly degenerate primer (THDP-PCR) targeting copper-containing membrane-bound monooxygenases (CuMMO) genes for community analysis of methane- or ammonia-oxidizing bacteria. This strategy consists of a primary CuMMO gene-specific PCR followed by a secondary PCR with a tag as a single primer. This strategy remarkably increases the divergence of CuMMO gene amplicons while maintaining PCR efficiency without obvious amplification bias. This THDP-PCR strategy can be extended to other functional gene-based community analysis with design of new highly degenerate primer covering target functional gene sequences.

分子生物学

秀丽隐杆线虫中的单分子RNA荧光原位杂交(smFISH)

Single-molecule RNA Fluorescence in situ Hybridization (smFISH) in Caenorhabditis elegans

秀丽隐杆线虫中的单分子RNA荧光原位杂交(smFISH)

CL ChangHwan Lee
HS Hannah S. Seidel
TL Tina R. Lynch
ES Erika B. Sorensen
SC Sarah L. Crittenden
JK Judith Kimble
18411 Views
Jun 20, 2017
Single-molecule RNA fluorescence in situ hybridization (smFISH) is a technique to visualize individual RNA molecules using multiple fluorescently-labeled oligonucleotide probes specific to the target RNA (Raj et al., 2008; Lee et al., 2016a). We adapted this technique to visualize RNAs in the C. elegans whole adult worm or its germline, which enabled simultaneous recording of nascent transcripts at active transcription sites and mature mRNAs in the cytoplasm (Lee et al., 2013 and 2016b). Here we describe each step of the smFISH procedure, reagents, and microscope settings optimized for C. elegans extruded gonads.
使用分子碎片机方法构建密集覆盖的sgRNA文库

Dense sgRNA Library Construction Using a Molecular Chipper Approach

使用分子碎片机方法构建密集覆盖的sgRNA文库

JC Jijun Cheng
WP Wen Pan
JL Jun Lu
10848 Views
Jun 20, 2017
Genetic screens using single-guide-RNA (sgRNA) libraries and CRISPR technology have been powerful to identify genetic regulators for both coding and noncoding regions of the genome. Interrogating functional elements in noncoding regions requires sgRNA libraries that are densely covering, and ideally inexpensive, easy to implement and flexible for customization. We present a Molecular Chipper protocol for generating dense sgRNA libraries from genomic regions of interest. This approach utilizes a combination of random fragmentation and a Type III restriction enzyme to derive a dense coverage of sgRNA library from input DNA.
利用DNA聚合酶θ末端转移酶活性修饰DNA和RNA的3'末端

Modification of 3’ Terminal Ends of DNA and RNA Using DNA Polymerase θ Terminal Transferase Activity

利用DNA聚合酶θ末端转移酶活性修饰DNA和RNA的3'末端

TH Trung M. Hoang
TK Tatiana Kent
RP Richard T. Pomerantz
10398 Views
Jun 20, 2017
DNA polymerase θ (Polθ) is a promiscuous enzyme that is essential for the error-prone DNA double-strand break (DSB) repair pathway called alternative end-joining (alt-EJ). During this form of DSB repair, Polθ performs terminal transferase activity at the 3’ termini of resected DSBs via templated and non-templated nucleotide addition cycles. Since human Polθ is able to modify the 3’ terminal ends of both DNA and RNA with a wide array of large and diverse ribonucleotide and deoxyribonucleotide analogs, its terminal transferase activity is more useful for biotechnology applications than terminal deoxynucleotidyl transferase (TdT). Here, we present in detail simple methods by which purified human Polθ is utilized to modify the 3’ terminal ends of RNA and DNA for various applications in biotechnology and biomedical research.
体外实验检测在碱基去除修复中聚合酶β联合DNA连接反应介导的核苷酸插入

In vitro Assay to Measure DNA Polymerase β Nucleotide Insertion Coupled with the DNA Ligation Reaction during Base Excision Repair

体外实验检测在碱基去除修复中聚合酶β联合DNA连接反应介导的核苷酸插入

Melike Çağlayan Melike Çağlayan
SW Samuel H. Wilson
7680 Views
Jun 20, 2017
We previously reported that oxidized nucleotide insertion by DNA polymerase β (pol β) can confound the DNA ligation step during base excision repair (BER) (Çağlayan et al., 2017). Here, we describe a method to investigate pol β nucleotide insertion coupled with DNA ligation, in the same reaction mixture including dGTP or 8-oxo-dGTP, pol β and DNA ligase I. This in vitro assay enables us to measure the products for correct vs. oxidized nucleotide insertion, DNA ligation, and ligation failure, i.e., abortive ligation products, as a function of reaction time. This protocol complements our previous publication and describes an efficient way to analyze activities of BER enzymes and the functional interaction between pol β and DNA ligase I in vitro.

神经科学

立体定向外科手术治疗小鼠视交叉上核病变

Stereotaxic Surgery for Suprachiasmatic Nucleus Lesions in Mice

立体定向外科手术治疗小鼠视交叉上核病变

Kimiko Shimizu Kimiko Shimizu
YF Yoshitaka Fukada
19308 Views
Jun 20, 2017
Site-specific lesions are invaluable methods for investigating the function of brain regions within the central nervous system and can be used to study neural mechanisms of behaviors. Precise stereotaxic surgery is required to lesion small regions of the brain such as the suprachiasmatic nucleus (SCN), which harbors the master circadian clock. In this protocol, we describe stereotaxic surgery optimized for bilateral lesion of the mouse SCN by loading electric current. Success of the SCN lesion is verified histologically and behaviorally by monitoring arrhythmic locomotor activity. The SCN-lesioned mouse allows for the evaluation of behavioral, biochemical, and physiological consequences of ablation of the master circadian clock.
对原代培养神经元进行时空控制的光遗传学刺激和记录

Optogenetic Stimulation and Recording of Primary Cultured Neurons with Spatiotemporal Control

对原代培养神经元进行时空控制的光遗传学刺激和记录

JB Jérémie Barral
AR Alex D Reyes
12563 Views
Jun 20, 2017
We studied a network of cortical neurons in culture and developed an innovative optical device to stimulate optogenetically a large neuronal population with both spatial and temporal precision. We first describe how to culture primary neurons expressing channelrhodopsin. We then detail the optogenetic setup based on the workings of a fast Digital Light Processing (DLP) projector. The setup is able to stimulate tens to hundreds neurons with independent trains of light pulses that evoked action potentials with high temporal resolution. During photostimulation, network activity was monitored using patch-clamp recordings of up to 4 neurons. The experiment is ideally suited to study recurrent network dynamics or biological processes such as plasticity or homeostasis in a network of neurons when a sub-population is activated by distinct stimuli whose characteristics (correlation, rate, and, size) were finely controlled.
挫伤脊髓损伤大鼠模型

Contusion Spinal Cord Injury Rat Model

挫伤脊髓损伤大鼠模型

CC Chuan-Wen Chiu
HC Henrich Cheng
SH Shie-Liang Hsieh
12289 Views
Jun 20, 2017
Spinal cord injury (SCI) can lead to severe disability, paralysis, neurological deficits and even death. In humans, most spinal cord injuries are caused by transient compression or contusion of the spinal cord associated with motor vehicle accidents. Animal models of contusion mimic the typical SCI’s found in humans and these models are key to the discovery of progressive secondary tissue damage, demyelination, and apoptosis as well as pathophysiological mechanisms post SCI. Here we describe a method for the establishment of an efficient and reproducible contusion model of SCI in adult rat.
将胚胎皮质组织移植到病变的成年小鼠脑中

Transplantation of Embryonic Cortical Tissue into Lesioned Adult Brain in Mice

将胚胎皮质组织移植到病变的成年小鼠脑中

CW Cong Wang
HG Hao Gao
SZ Shengxiang Zhang
8654 Views
Jun 20, 2017
Transplantation of embryonic cortical tissue for repairing the damaged brain has provided a potential therapy for brain injury and diseases. The grafted tissue can successfully survive and participate in reestablishing the functional neural circuit of the host brain. Transplantation surgery can be combined with fluorescently labeled transgenic mice to evaluate the reconstruction of neuronal network (Falkner et al., 2016) and the repopulation of a subset of cortical cells. By using this approach, we have shown that infiltrating cells from host brain can restore the microglial population in the graft tissue (Wang et al., 2016). This protocol describes the detailed procedure of the transplantation surgery in mice, including establishing a lesion model in the host brain, preparing the embryonic cortical graft, and transplanting the embryonic cortical graft to adult brain.
图示介导的厌恶作为模型研究小鼠精神病样状态

Representation-mediated Aversion as a Model to Study Psychotic-like States in Mice

图示介导的厌恶作为模型研究小鼠精神病样状态

AB Arnau Busquets-Garcia
Edgar Soria-Gómez Edgar Soria-Gómez
GF Guillaume Ferreira
GM Giovanni Marsicano
7613 Views
Jun 20, 2017
Several paradigms for rodent models of the cognitive and negative endophenotypes found in schizophrenic patients have been proposed. However, significant efforts are needed in order to study the pathophysiology of schizophrenia-related positive symptoms. Recently, it has been shown that these positive symptoms can be studied in rats by using representation-mediated learning. This learning measure the accuracy of mental representations of reality, also called ‘reality testing’. Alterations in ‘reality testing’ performance can be an indication of an impairment in perception which is a clear hallmark of positive psychotic-like states. Thus, we describe here a mouse task adapted from previous findings based on a sensory preconditioning task. With this task, associations made between different neutral stimuli (e.g., an odor and a taste) and subsequent selective devaluation of one of these stimuli have allowed us to study mental sensory representations. Thus, the interest of this task is that it can be used to model positive psychotic-like states in mice, as recently described.

植物科学

莱茵衣藻的趋光性分析

Phototaxis Assay for Chlamydomonas reinhardtii

莱茵衣藻的趋光性分析

Noriko Ueki Noriko Ueki
Ken-ichi Wakabayashi Ken-ichi Wakabayashi
15186 Views
Jun 20, 2017
Phototaxis is a behavior in which organisms move toward or away from the light source (positive or negative phototaxis, respectively). It is crucial for phototrophic microorganisms to inhabit under proper light conditions for phototaxis. The unicellular green alga Chlamydomonas reinhardtii rapidly changes its swimming direction upon light illumination, and thus is a nice model organism for phototaxis research. Here we show two methods to assay Chlamydomonas phototaxis; one is a quick, easy and qualitative analysis, so-called the dish assay; and the other is a quantitative single-cell analysis.
使用硅橡胶印记估测拟南芥气孔开度

Estimation of Stomatal Aperture in Arabidopsis thaliana Using Silicone Rubber Imprints

使用硅橡胶印记估测拟南芥气孔开度

TS Telma E. Scarpeci
MZ María I. Zanor
Estela M. Valle Estela M. Valle
13742 Views
Jun 20, 2017
Estimation of stomatal aperture using low viscosity silicone-base impression material has the advantage of working with the whole leaf. The developmental stage and the environment strongly affect the stomatal aperture. Therefore, it is mandatory to have accurate estimations of the stomatal aperture of intact leaves under different situations. With this technique, it is possible to get the real picture at any moment. The outputs of the data include studies on cell area and morphology, epidermis cell and stomata lineages, among others. This protocol is useful for the accurate estimation of stomatal aperture in many samples of intact leaves in Arabidopsis thaliana.
在苔藓中使用RNA引导的内切核酸酶进行定向诱变

Targeted Mutagenesis Using RNA-guided Endonucleases in Mosses

在苔藓中使用RNA引导的内切核酸酶进行定向诱变

TN Toshihisa Nomura
HS Hitoshi Sakakibara
13261 Views
Jun 20, 2017
RNA-guided endonucleases (RGENs) have been used for genome editing in various organisms. Here, we demonstrate a simple method for performing targeted mutagenesis and genotyping in a model moss species, Physcomitrella patens, using RGENs. We also performed targeted mutagenesis in a non-model moss, Scopelophilla cataractae, using a similar method (Nomura et al., 2016), indicating that this experimental system could be applied to a wide range of mosses species.
使用用户指导平台进行图像分割以分析固定植物组织的三维细胞结构

Analysis of 3D Cellular Organization of Fixed Plant Tissues Using a User-guided Platform for Image Segmentation

使用用户指导平台进行图像分割以分析固定植物组织的三维细胞结构

EM Ethel Mendocilla Sato
CB Célia Baroux
12381 Views
Jun 20, 2017
The advent of non-invasive, high-resolution microscopy imaging techniques and computational pipelines for high-throughput image processing has contributed to gain insights in plant organ morphogenesis at the cellular level. Confocal scanning laser microscopy (CSLM) allows the generation of three dimensional images constituted of serial optical sections reporting on stained subcellular structures. Fluorescent labels of cell walls or cell membranes, either chemically or through reporter proteins, are particularly useful for the analyses of tissue organization and cellular shapes in 3D. Image segmentation based on cell boundary signals is used as an input to generate 3D-segments representing cells. These digitalized, 3D objects provide quantitative data on cell shape, size, geometry, position or on (intercellular) intensity signals if additional reporters are used. Herein, we report a detailed, annotated workflow for image segmentation using microscopic data. We used it in the context of a study of tissue patterning during ovule primordium development in Arabidopsis thaliana. Whole carpels are stained for cell boundaries using a modified pseudo-Schiff propidium iodide (mPS-PI) protocol, 3D images are acquired at high resolution by CSLM, segmented and annotated for individual cell types using ImarisCell. This allows for quantitative analyses of cell shape and cell number that are relevant for tissue morphodynamic studies.
从小球藻Chlorella sorokiniana提取O-乙酰丝氨酸 (硫醇) 裂解酶 (OASTL) 并测定其活性

Extraction and Activity of O-acetylserine(thiol)lyase (OASTL) from Microalga Chlorella sorokiniana

从小球藻Chlorella sorokiniana提取O-乙酰丝氨酸 (硫醇) 裂解酶 (OASTL) 并测定其活性

Giovanna Salbitani Giovanna Salbitani
Simona Carfagna Simona Carfagna
11777 Views
Jun 20, 2017
O-acetylserine(thiol)lyase (OASTL) is an enzyme catalysing the reaction of inorganic sulphide with O-acetylserine to form the S-containing amino acid L-cysteine. Here we describe an improved protocol to evaluate the activity of this enzyme from the microalga Chlorella sorokiniana. It is a colorimetric assay based on the reaction between cysteine, the product of OASTL activity, and ninhydrin reagent, which forms a thiazolidine (Thz).
不萃取或溶剂萃取法分析根脂肪族木栓质

Root Aliphatic Suberin Analysis Using Non-extraction or Solvent-extraction Methods

不萃取或溶剂萃取法分析根脂肪族木栓质

CD Camille Delude
Sollapura  J.  Vishwanath Sollapura J. Vishwanath
OR Owen Rowland
Frédéric  Domergue Frédéric Domergue
10557 Views
Jun 20, 2017
Here we describe both non-extraction and solvent-extraction methods for root aliphatic suberin analysis. The non-extraction method is fast as roots are directly depolymerized using acidic transmethylation. However, suberin aliphatic components are isolated together with all the other acyl chains making up the lipids (e.g., membranes) present in roots. For the solvent-extraction method, roots are first delipidated before transmethylation. This method is longer but allows separation of soluble and polymerized root lipids. This protocol is optimized for tissue culture- or soil-grown Arabidopsis thaliana plants, but can be used with roots of other plants.